• Home
  • About Us
  • Our Treatments
    • Pediatric Dentistry
      • Colourful Filling
      • SDF Cavity
      • Preventive Dentistry Fluoride
      • Space Maintainers
      • Tongue Tie Treatment
      • MIPD - Halls Technique
      • Root Canals For Children
      • General Anesthesia
      • Anterior Aesthetics
      • MIH Chalky Teeth
      • Oral / IV Sedation
      • Preventive Resin Restoration
    • Root Canal Treatment
    • Dental Implants
    • Smile Design
    • Orthodontic Treatment
    • Wisdom Tooth Extraction
    • Dental Crown
    • Invisalign
    • Dental X-rays
    • Removable Partial Denture
    • Teeth Whitening
    • Teeth Cleaning & Teeth Scaling
  • Doctor Profile
  • Gallery
  • Contact Us
  • Book Appointment

What Is Preventive Dentistry Fluoride?

Preventive dentistry fluoride is a treatment used to strengthen teeth and protect them from cavities. Fluoride is a natural mineral that helps make tooth enamel stronger and more resistant to the acids produced by bacteria in the mouth.

During this treatment, the dentist applies a fluoride gel, foam, or varnish directly to the teeth. This helps repair weak areas of the enamel and prevents the formation of cavities. Fluoride treatment is quick, painless, and especially beneficial for children because it helps protect their developing teeth.

Why Choose Tooth Ville?

At Dr. Mahajan’s Toothville – Maxillofacial & Pediatric Dental Studio, we focus on providing high-quality dental care in a warm, comfortable, and child-friendly environment. Our goal is to make every dental visit a positive experience, especially for children, while ensuring the best oral health care for every patient.

With advanced dental technology and experienced professionals, we provide safe, gentle, and effective treatments tailored to each patient’s needs. Our clinic emphasizes preventive care, early diagnosis, and personalized treatment plans to help maintain healthy teeth and confident smiles.

Benefits of Preventive Dentistry Fluoride for Kids?

Strengthens Tooth Enamel

Fluoride helps make the outer layer of the teeth stronger and more than resistant to decay.

Prevents Cavities

Regular fluoride treatments help protect teeth from harmful bacteria and acids that cause cavities.

Repairs Early Tooth Damage

Fluoride can help repair and remineralize weak areas of enamel before cavities develop.

Quick and Painless Treatment

The procedure is simple, comfortable, and takes only a few minutes during a dental visit.

How Is the Preventive Dentistry Fluoride Procedure Done?

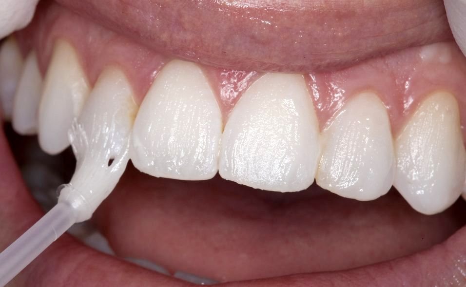
The fluoride treatment procedure is a quick, safe, and painless preventive dental treatment designed to strengthen teeth and protect them from cavities. It is commonly recommended for children to help keep their teeth healthy and strong as they grow. First, the dentist examines the child’s teeth and cleans them to remove any plaque or food particles. This ensures that the fluoride can properly reach and protect the tooth surface. Next, a fluoride gel, foam, or varnish is carefully applied to the teeth using a small brush or applicator. The fluoride quickly absorbs into the tooth enamel, helping to strengthen it and make it more resistant to decay. After the application, the dentist may ask the child to avoid eating or drinking for a short period so the fluoride can fully work on the teeth. The entire procedure takes only a few minutes and provides long-lasting protection against cavities.

FAQS About Preventive Dentistry Fluoride Procedure

Fluoride treatment is a preventive dental procedure where a dentist applies fluoride to the teeth to strengthen the enamel and protect against cavities. It helps keep teeth healthy and resistant to decay.

Yes, fluoride treatment is completely safe for children when applied by a dentist. It is widely recommended to help protect developing teeth from cavities and strengthen enamel.

Fluoride treatment is very quick and usually takes only a few minutes during a regular dental visit. The procedure is simple, comfortable, and painless.

Dentists typically recommend fluoride treatment every 3 to 6 months, depending on the child’s risk of developing cavities and overall oral health.

After the treatment, children are usually advised to avoid eating or drinking for about 30 minutes so the fluoride can fully absorb and provide maximum protection.

Before & After Preventive Dentistry Fluoride Procedure

Before
After

Pediatric Dentistry

  • Colourful Filling

  • SDF Cavity

  • Preventive Dentistry Fluoride

  • Space Maintainers

  • Tongue Tie Treatment

  • MIPD - Halls Technique

  • Root Canals For Children

  • General Anesthesia

  • Anterior Aesthetics

  • MIH Chalky Teeth

  • Oral / IV Sedation

  • Preventive Resin Restoration

11:00 AM - 02:00 PM

04:00 PM - 08:30 PM

quick links

  • home
  • about us
  • doctor profile
  • gallery
  • contact us

contact details

+91 92097 15348

toothvilledentalstudio@gmail.com

101A, B-Wing, Audumbar Society, Near Vardhaman Petrol Pump, Warje, Pune - 411058

Our Location

Copyright © 2026 Dr. Mahajan's Toothville Maxillofacial and Pediatric Dental Studio. All Rights Reserved | Develop by Nexus