• Home
  • About Us
  • Our Treatments
    • Pediatric Dentistry
      • Colourful Filling
      • SDF Cavity
      • Preventive Dentistry Fluoride
      • Space Maintainers
      • Tongue Tie Treatment
      • MIPD - Halls Technique
      • Root Canals For Children
      • General Anesthesia
      • Anterior Aesthetics
      • MIH Chalky Teeth
      • Oral / IV Sedation
      • Preventive Resin Restoration
    • Root Canal Treatment
    • Dental Implants
    • Smile Design
    • Orthodontic Treatment
    • Wisdom Tooth Extraction
    • Dental Crown
    • Invisalign
    • Dental X-rays
    • Removable Partial Denture
    • Teeth Whitening
    • Teeth Cleaning & Teeth Scaling
  • Doctor Profile
  • Gallery
  • Contact Us
  • Book Appointment

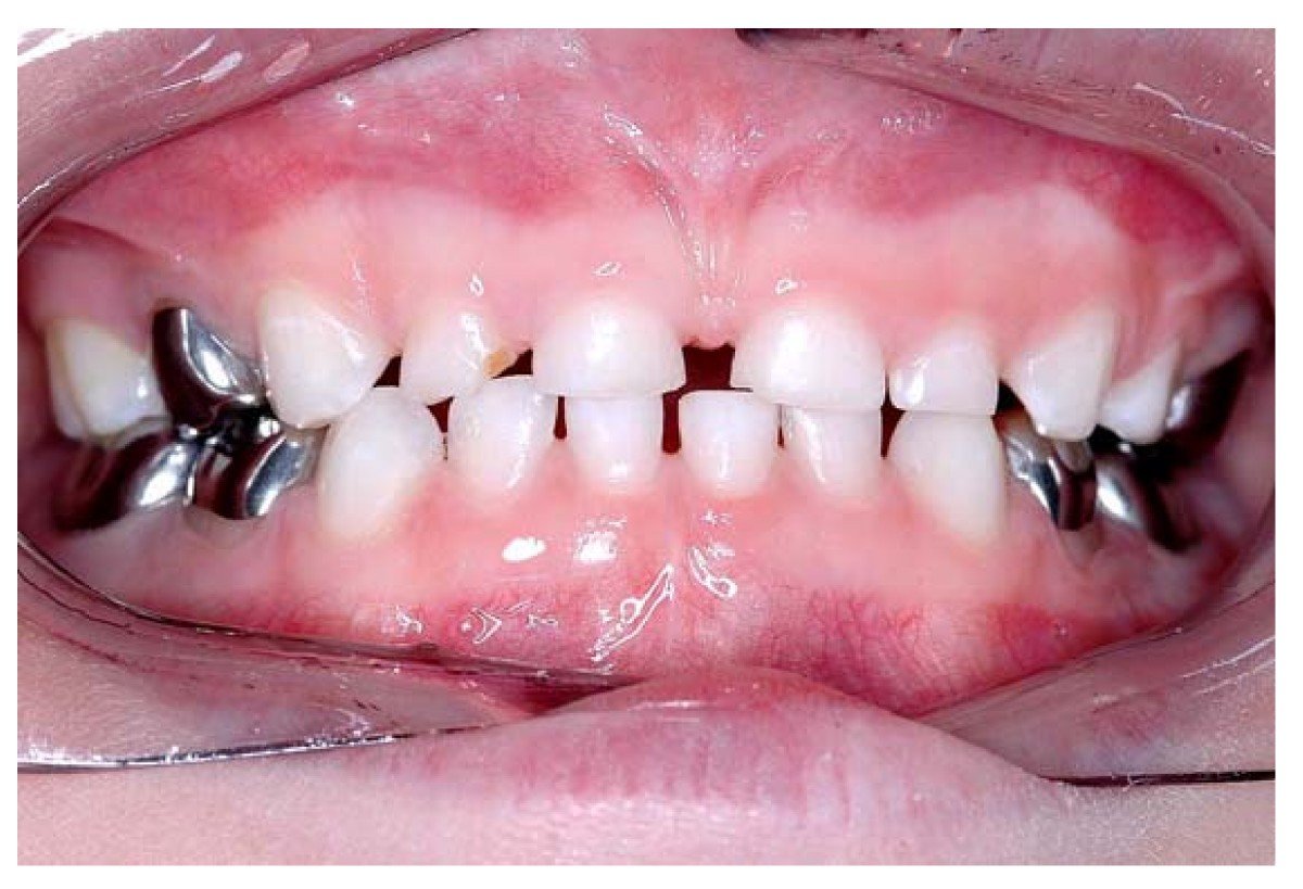
What Is MIPD - Halls Technique?

MIPD (Minimally Invasive Pediatric Dentistry) – Hall’s Technique is a modern dental treatment used to manage cavities in children’s baby teeth without drilling or removing the decayed part of the tooth. This technique involves placing a special stainless steel crown over the affected tooth to seal the cavity and stop the decay from progressing.

In this procedure, the dentist carefully selects and fits a preformed metal crown over the child’s tooth. The crown covers the entire tooth and seals the bacteria inside, preventing further damage. Because the tooth is fully protected, the decay cannot continue to spread. The Hall’s Technique is a comfortable and child-friendly treatment since it usually does not require injections or drilling. It is widely used in pediatric dentistry to preserve baby teeth until they naturally fall out, helping maintain proper chewing, spacing, and oral development.

Why Choose Tooth Ville?

At Dr. Mahajan’s Toothville – Maxillofacial & Pediatric Dental Studio, we are dedicated to providing advanced dental care in a comfortable, modern, and child-friendly environment. Our goal is to ensure that every child feels safe, relaxed, and confident during their dental visit.

Our experienced dental team uses modern technology and gentle treatment techniques to deliver high-quality care tailored to each patient’s needs. We focus on preventive dentistry, early diagnosis, and personalized treatment plans to maintain healthy smiles and proper dental development.

Benefits of MIPD - Halls Technique?

No Drilling Required

The procedure does not require drilling, which makes the treatment easier and less stressful for children.

Comfortable and Child-Friendly

Since there are no injections or drilling in most cases, children usually feel more relaxed during the procedure.

Stops Cavity Progression

The stainless steel crown seals the decay inside the tooth, preventing bacteria from spreading further.

Strong and Durable Protection

The crown covers the entire tooth and provides long-lasting protection until the baby tooth naturally falls out.

How Is the MIPD - Halls Technique Procedure Done?

The MIPD – Hall’s Technique is a simple and child-friendly dental procedure used to treat cavities in baby teeth without drilling or removing the decayed portion of the tooth. The goal of this technique is to seal the cavity and stop the decay from progressing. First, the dentist carefully examines the child’s tooth to check the extent of the cavity and determine if the Hall’s Technique is suitable. The tooth is then cleaned and prepared for the placement of the crown. Next, the dentist selects a properly sized stainless steel crown that fits over the affected tooth. The crown is filled with a special dental cement and gently placed over the tooth, covering it completely. The child is then asked to bite down so the crown fits securely in place. Once the crown is properly positioned, the dental cement hardens and holds it firmly on the tooth. The crown seals the cavity inside, preventing bacteria from causing further decay.

FAQS About MIPD - Halls Technique

The Hall’s Technique is a minimally invasive dental treatment used to manage cavities in baby teeth. It involves placing a stainless steel crown over the affected tooth to seal the decay without drilling.

Yes, the Hall’s Technique is safe and widely used in pediatric dentistry. It is designed to protect the tooth and stop cavity progression while keeping the treatment comfortable for children.

No, in most cases the Hall’s Technique does not require drilling or removal of the decayed tooth structure. The crown simply covers the tooth and seals the cavity.

The stainless steel crown usually lasts until the baby tooth naturally falls out and is replaced by the permanent tooth.

Yes, children can eat and chew normally after the crown is placed. However, it is recommended to avoid very sticky foods that may loosen the crown.

Before & After Results of MIPD - Halls Technique

Before
After

Pediatric Dentistry

  • Colourful Filling

  • SDF Cavity

  • Preventive Dentistry Fluoride

  • Space Maintainers

  • Tongue Tie Treatment

  • MIPD - Halls Technique

  • Root Canals For Children

  • General Anesthesia

  • Anterior Aesthetics

  • MIH Chalky Teeth

  • Oral / IV Sedation

  • Preventive Resin Restoration

11:00 AM - 02:00 PM

04:00 PM - 08:30 PM

quick links

  • home
  • about us
  • doctor profile
  • gallery
  • contact us

contact details

+91 92097 15348

toothvilledentalstudio@gmail.com

101A, B-Wing, Audumbar Society, Near Vardhaman Petrol Pump, Warje, Pune - 411058

Our Location

Copyright © 2026 Dr. Mahajan's Toothville Maxillofacial and Pediatric Dental Studio. All Rights Reserved | Develop by Nexus